Онлайн Редакція Вакансії Контакти Ігри Гороскоп
14 червня, 14:01
3

Рештки динозавра, в шлунку якого збереглась остання страва, вперше показали, що їли зауроподи

Основні тези
  • В Австралії знайдено зауропода з добре збереженим скелетом і скам’янілою шкірою. У череві збереглися рештки останньої трапези.
  • Аналіз вмісту шлунка вперше підтвердив, що зауроподи харчувалися рослинністю, включаючи хвойні, папороті та квіткові рослини.

У череві викопного зауропода, знайденого в Австралії, збереглися рештки рослин – це перший випадок, коли вдалося виявити скам’янілу їжу такого динозавра. Відкриття проливає світло на раціон цих доісторичних гігантів.

Унікальна знахідка в Австралії

У віддаленому регіоні австралійського Квінсленду палеонтологи виявили винятково добре збереженого зауропода, якого назвали Джуді. Цей динозавр не лише має найповніший скелет, знайдений на континенті, але й став першим австралійським зауроподом, у якого виявили скам’янілу шкіру. Унікальність відкриття полягає в ще одному моменті – в черевній порожнині збереглися рештки останньої трапези, повідомляє 24 Канал з посиланням на The Conversation.

Дивіться також Учені заявили, що динозаври насправді не вимирали перед падінням астероїда, як ми зараз вважаємо 

У журналі Current Biology дослідники оприлюднили результати аналізу кишкового вмісту Джуді. Завдяки його надзвичайному збереженню вдалося отримати перші прямі докази того, чим харчувалися ці доісторичні гіганти.

Зауроподи – довгошиї рослиноїдні динозаври, які домінували на планеті понад 130 мільйонів років. Їхній раціон майже не викликав сумнівів у наукової спільноти: довгий час вважалося, що вони харчувалися винятково рослинами. Це припущення базувалося на особливостях будови тіла: довгій шиї, що дозволяла діставати до високих гілок на деревах, простих зубах, невеликому мозку, повільності тощо. Проте дотепер не було прямих доказів на кшталт скам’янілих решток вмісту шлунка.

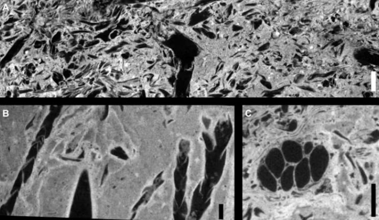
Виявлення черевного шару, насиченого рослинними скам’янілостями, стало науковим проривом. Площею два квадратних метри та товщиною близько 10 сантиметрів, він містив залишки давніх хвойних, насіннєвих папоротей і квіткових рослин.

Дієта зауроподових

Завдяки аналізу, проведеному за допомогою рентгенівських променів, нейтронів і хімічного складу, вдалося підтвердити: зауропод Джуді належав до виду Diamantinasaurus matildae. Його раціон включав родичів сучасних секвой і евкаліптів, насіннєві коробочки вимерлих рослин і листя квіткових. Усі ці рослини збереглися в череві динозавра у вигляді пустот, заповнених мінералами, що утворилися внаслідок дії мікробів і шлункових соків.


У цих візерунках вчені розгледіли частини хвойних дерев і насіннєву коробочку папороті / Фото Стівен Ф. Поропат

Факт присутності як високорослих, так і низькорослих рослин свідчить про те, що харчування зауроподів могло змінюватися протягом життя. Молоді особини, як Джуді, могли харчуватися ближче до землі, тоді як дорослі – діставати рослинність на більшій висоті.

Знахідка підтвердила припущення про вегетаріанське меню зауроподів, але також дала змогу краще зрозуміти, як саме вони перетравлювали їжу. Виявилося, що ці динозаври майже не пережовували рослини – травлення відбувалося переважно завдяки кишковим мікроорганізмам.

Сьогодні скам’яніла шкіра Джуді та її остання страва виставлені в Австралійському музеї у місті Вінтон.

Пов'язані теми: