Подробнее о заявлении Кремля
Российское представительство в ООН на своем официальном сайте иронично поздравило Украину с очередной победой. Так в Кремле называют "палки в колеса", которые вставляет Киев любой российской инициативе на международной арене.
К теме ООН приняла резолюцию о противодействии коронавирусу: не российскую с отменой санкций
В последнее время особенно активизировалось украинское постпредставительство в ООН. Оно регулярно злорадно информирует украинскую и мировую общественность о своей очередной "славной" победе в "борьбе" с Россией. На этот раз жертвой "твердой и непоколебимой" украинской линии стал проект одной из резолюций Генассамблеи ООН, направленный на координацию международных усилий по борьбе с пандемией коронавируса. Соавторами этой резолюции стали свыше 30 государств, в частности Россия,
– отмечают российские дипломаты.
В то же время в постпредставительстве России в ООН умолчали, что прежде всего от снятия санкций выиграют они – якобы они ни с кем не торгуют и никого не просят их снять. Между тем здесь убеждают, что их резолюция пошла бы на пользу развивающимся странам. В то же время Кремль якобы призывал действовать в духе добрососедства. А позицию Украины российские дипломаты охарактеризовали как кощунственную.
"В отличие от других стран, которые "раскрыли" наш проект, украинские коллеги даже не привели аргументы, которые имеют какое-либо отношение к теме резолюции. Были только заезженные штампы и "фейки" о России. Но мы призываем быть снисходительными к нашим украинским соседям. Ведь их еще ждет долгий путь эмансипации от "Анти-России", которой по сути и является постмайданная Украина", - подытожила российская сторона.
Как на это отреагировала Украина
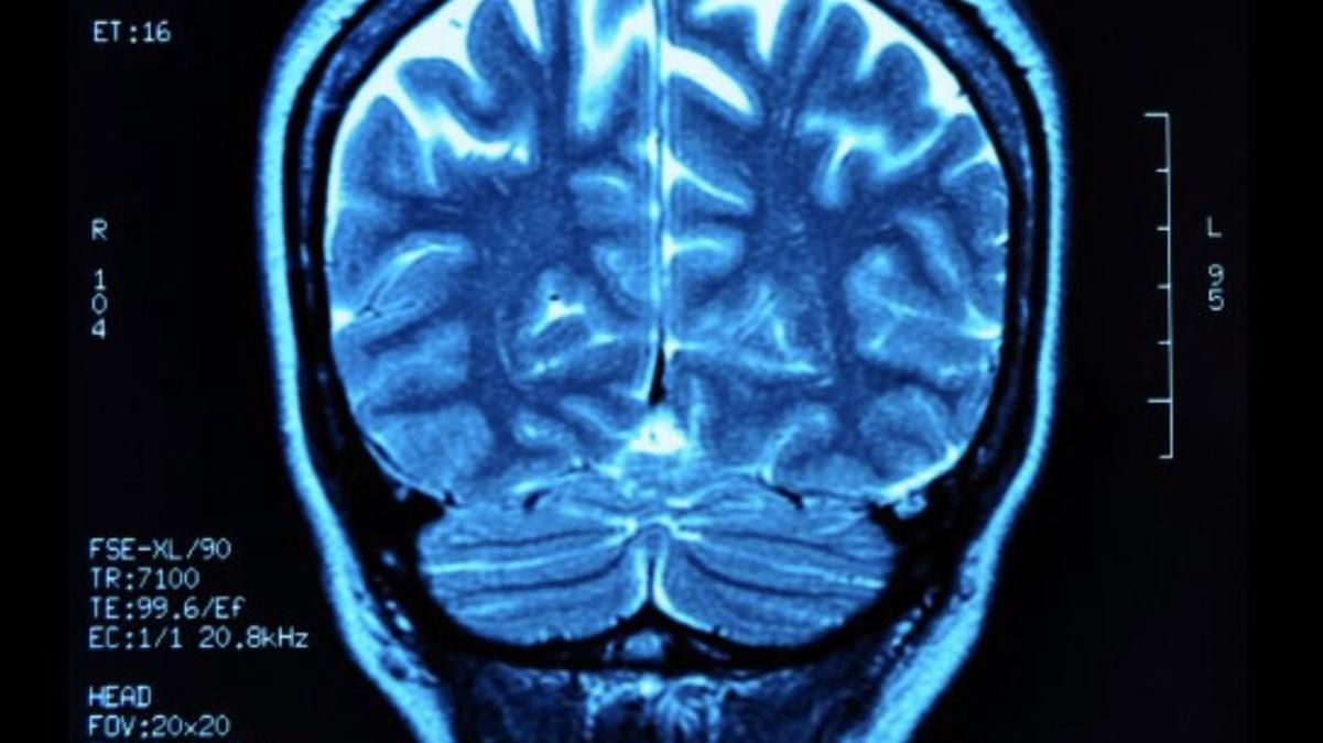
Постоянный представитель Украины в ООН Сергей Кислица в ответ на такие упреки опубликовал томографию, которая поступила из российской миссии в ООН.
Мы попытались аннексировать вашу территорию, ведем войну, Генассамблея ООН нас определила окупупантом, убиваем ваших граждан, а вы, господа, против "позитивной повестки дня" и "добрососедства"? COVID? Или что-то когнитивное?
– иронично заметил он.
Заявление представителей России прокомментировал и спикер постоянного представительства Украины в ООН Олег Николенко.
Когда на людях российская делегация в ООН "мы не обсуждаем введенные против нас незаконные рестрикции, ни с кем не торгуемся и никого не умоляем их снять", а на деле начинает популяризировать украинский язык. С победой, господа!
– подчеркнул украинский дипломат.
Обратите внимание Россия вернула Украине две ноты протеста по Крыму и Донбассу: детали

