Чтобы помочь ребенку, пришлось срочно делать операцию. Об этом 13 января рассказали на странице первой Харьковской областной детской клинической больницы №1.
Отметьте В Канаде значительно возросло количество случаев отравления детей каннабисом
Уже не раз предупреждали
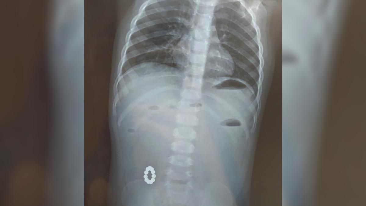
1-летнюю девочку привезли в больницу с подозрением на пищевое отравление. Однако врачи начали ее обследовать и обнаружили круглые магнитики, находившиеся в кишечнике. Они соединились и образовали кольцо.
В этот раз они привели к тяжелой хирургической патологии – непроходимости кишечника! Мы уже не раз обращали внимание родителей на эти опасные игрушки особенно для малышей,
– написали медики.
Медики провели оперативное вмешательство и профессионально устранили проблему. В настоящее время жизни маленькой пациентки ничего не угрожает.
В бригаду, которая помогла ребенку, входили:
- детские хирурги Ярослава Дегтярова и Игорь Черномаз;
- врач-интерн Оксана Витренко;
- детский анестезиолог Евгений Виштала;
- операционная сестра Оксана Арцыбашева.
Магниты, которые врачи достали из малыша / Фото Харьковской областной детской больницы №1
Похожее событие недавно
10 января в Киеве в больницу госпитализировали 1-летнюю девочку, которая проглотила такие же магниты. Один из шариков остался в желудке, а второй – в кишке. Остальные же притянулись друг к другу и прорвали ткани органов.
Один только кишечник девочки был поврежден только в трех местах. Оказалось, что опасные шарики малыши украли из игрушечного кубика старшей сестры. К счастью, операция прошла удачно.
Читайте полный текст сообщения Харьковской областной детской больницы №1:
В нашу больницу была доставлена девочка 1 года с подозрением на пищевое отравление, но при совершенной диагностике были обнаружены посторонние тела кишечника!
А именно – магниты, которые между собой соединились и образовали кольцо.
В этот раз они привели к тяжелой хирургической патологии – непроходимости кишечника!
Мы уже не раз обращали внимание родителей на эти опасные игрушки особенно для малышей!
Очередной медицинской бригадой в составе детских хирургов Ярослава Дегтярова, Игоря Черномаза, врача интерна Оксаны Витренко, детского анестезиолога Евгения Виштала, операционной сестры Оксаны Арцыбашевой
было успешно выполнено сложное оперативное вмешательство:
удалены посторонние тела и устранена непроходимость кишечного пути.
Пусть девочка как можно скорее поправляется!
А к родителям еще раз обращаемся, быть бдительными при уходе за детьми!
И если Вы заметили что-то необычное с Вашим ребенком – не теряйте времени и обращайтесь к специалистам нашей больницы, где Вашим деткам смогут оказать круглосуточную высококвалифицированную помощь!



