Щоб допомогти дитині, довелося терміново робити операцію. Про це 13 січня розповіли на сторінці першої Харківської обласної дитячої клінічної лікарні №1.
Зауважте В Канаді значно зросла кількість випадків отруєння дітей канабісом
Вже не раз попереджали
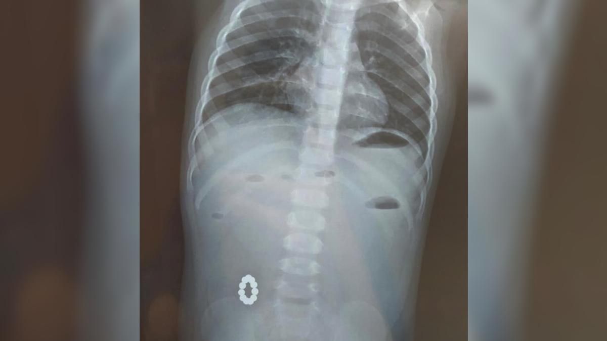
1-річну дівчинку привезли до лікарні з підозрою на харчове отруєння. Проте лікарі почали її обстежувати й виявили круглі магнітики, які були в кишківнику. Вони між собою з'єдналися та утворили кільце.
На цей раз вони привели до тяжкої хірургічної патології – непрохідності кишківника! Ми вже не одноразово звертали увагу батьків на ці небезпечні іграшки особливо для малечі,
– написали медики.
Медики провели оперативне втручання та професійно усунули проблему. Наразі життю маленької пацієнтки нічого не загрожує.
До бригади, яка допомогла дитині, входили:
- дитячі хірурги Ярослава Дєгтярова та Ігор Чорномаз;
- лікарка-інтерн Оксана Вітренко;
- дитячий анестезіолог Євген Вiштала;
- операційна сестра Оксана Арцибашева.
Магнітів, які лікарі дістали з малечі / Фото Харківської обласної дитячої лікарні №1
Схожа подія нещодавно
10 січня в києві до лікарні госпіталізували 1-річну дівчинку, яка проковтнула такі ж магніти. Одна з кульок залишилася у шлунку, а друга – у кишці. Решта ж притяглися один до одного і прорвали тканини органів.
Один лише кишківник дівчинки був пошкоджений аж у трьох місцях.Виявилося, що небезпечні кульки малеча поцупила з іграшкового кубика старшої сестри. На щастя, операція пройшла успішно.
Читайте повний текст допису Харківської обласної дитячої лікарні №1:
До нашої лікарні була доставлена дівчинка 1 року з підозрою на харчове отруєння, але при досконалій діагностиці були виявлені сторонні тіла кишківника!
А саме - магніти, які між собою з'єдналися та утворили кільце.
На цей раз вони привели до тяжкої хірургічної патології – непрохідності кишківника!
Ми вже не одноразово звертали увагу батьків на ці небезпечні іграшки особливо для малечі!
Черговою медичною бригадою у складі дитячих хірургів Ярослава Дєгтярова, Ігоря Чорномаза, лікаря інтерна Оксани Вітренко, дитячого анестезіолога Євгена Вiштала, операційної сестри Оксани Арцибашевої
було успішно виконане складне оперативне втручання:
видалені сторонні тіла та ліквідована непрохідність кишкового шляху.
Нехай дівчинка якомога скоріше одужує!
А до батьків вкотре звертаємося, бути пильними при догляді за дітьми!
І якщо Ви помітили щось незвичне з Вашою дитиною - не гайте часу та звертайтеся до фахівців нашої лікарні, де Вашим діточкам зможуть надати цілодобову висококваліфіковану допомогу!



